General Dentistry
Cosmetic Dentistry
Dental Implants
At Studio Smiles, we understand that having gum disease can be not only embarrassing but also painful. We offer gum grafting and gum lifts to help restore your gumline and improve your oral health. Gum grafting is a procedure whereby healthy gum tissue is transplanted to areas where the gum has receded. This can help to improve the appearance of your smile and reduce tooth sensitivity. A gum lift, also known as a gingivectomy, is a procedure whereby excess gum tissue is removed. This can help to improve the symmetry of your smile and make it easier to keep your teeth clean. We are available for all families in the Bayside area of Melbourne including Highett, Bentleigh, Bentleigh East, Beaumaris, Hampton, Hampton East, Sandringham, Cheltenham, Moorabbin, Mentone, and Black Rock. If you are interested in either of these procedures, please contact us to schedule a consultation. We will be happy to answer any questions you may have and help you decide if gum surgery is right for you.


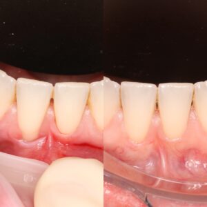
Gum grafting refers to a procedure used to treat gum recession. Gum recession occurs when your gums pull away from your teeth, exposing their roots and increasing the risk of decay and tooth loss. Gum recession can stem from gum disease, trauma, or brushing the teeth too hard.
The type of gum grafting you require will depend on the overall condition of your gums and how many of your teeth require a graft. This will all be determined by your highly qualified dentist at your Studio Smiles appointment. You are our number one priority so we take everything about you into consideration when tailoring your treatment. Gum grafting is a highly effective treatment to reverse receding gums, with a quick recovery time of 1-2 weeks.
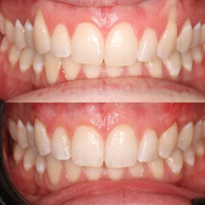
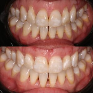
There are two main types of gum surgery: a gum graft and a gum lift. A gum graft involves taking healthy tissue from another area of the mouth and attaching it to the gums. This can help to cover exposed roots and improve the appearance of the gums. A gum lift, on the other hand, involves removing excess gum tissue in order to make the teeth look longer. Both procedures can be performed using either local anesthesia or sleep/sedation dentistry, depending on the preference of the patient. Recovery time is typically short, although patients may need to avoid hot foods and drinks for a few days after surgery.
Gum graft surgery is a common and effective treatment for gum disease. Gum disease occurs when the gums become inflamed and infected, often as a result of plaque buildup. Over time, this can lead to receding gums and even bone loss. Gum graft surgery involves taking tissue from another part of the mouth (or sometimes from a donor) and using it to cover the exposed root surfaces. This helps to protect the roots from further damage and also encourages the regrowth of healthy gum tissue. In addition, gum graft surgery can also help to improve the appearance of the gums by making them look fuller and more even. Gum graft surgery is typically done on an outpatient basis, and most people report little discomfort afterwards. With proper care, gum graft surgery can be an effective way to treat gum disease and restore healthy gums.
Gum infections, also known as periodontal disease, are a serious oral health problem that can lead to a number of problems if left untreated. The first stage of gum disease is gingivitis, which is characterised by red, swollen gums that bleed easily. If gingivitis is not treated, it can progress to periodontitis, which is a more severe form of gum disease. Periodontitis can lead to the loss of bone and tissue around the teeth, as well as tooth loss. In addition, gum disease has been linked to an increased risk of heart disease, stroke, and diabetes. For these reasons, it is important to see a dentist regularly for cleanings and to brush and floss daily. If you notice any changes in your gums, be sure to see a dentist right away.
Gum grafting is a surgical procedure that can be used to improve the appearance of your smile and protect your teeth from further damage. The procedure involves taking a small piece of gum tissue from another area of your mouth and attaching it to the gums around your teeth. This can help to cover up exposed tooth roots, fill in gum recession, and reduce the risk of future gum disease. Gum grafting can also help to make your teeth look longer and your smile appear more symmetrical. In addition, gum grafting can be used to correct a “gummy” smile by reducing the amount of gum tissue that is visible when you smile. The results of gum grafting are usually long-lasting, and the procedure can be an effective way to improve both the health and appearance of your smile.


If you’re looking for an affordable gum graft in Melbourne, look no further than Studio Smiles. Our gum grafts start at just $600, and we offer fixed price dental services and interest free payment plans to suit your budget. Our experienced team of dentists are dedicated to providing high-quality, affordable gum grafts in Melbourne, so you can rest assured that you’re getting the best possible value for money. Contact us today to find out more or to book an appointment.
Disclaimer: Results may vary between patients. Images used with consent
Gum grafting is a procedure often used to treat gum recession. Gum recession exposes the roots of your teeth, making them more prone to decay, sensitivity and/or pain. A gum graft is performed by a dental surgeon who uses the connective tissue, either from the roof of your mouth or surrounding gums, and stitches it to the exposed root. This is a necessary treatment to reverse receding gums and avoid further health problems down the line. By protecting the gums with a soft tissue graft we are able to restore the tooth’s natural protective barrier. Get treated with comfort and care. Book an appointment today.
Gum recession causes the surrounding bone and tissue around your tooth to pull away. This leads to an increased risk of bacteria that could damage the teeth, bones and gums. With gum grafting treatment, you’ll prevent further bone loss, tooth damage and tooth sensitivity. By booking an appointment, you’ll be preventing any future risks to your oral health and achieving the smile of your dreams. Transform your smile. Book an appointment today.
Receding gums are so common that many years ago we thought the condition was unavoidable. In fact, this is where the old saying about going ‘long in the tooth’ comes from. Before we understood gum disease and gum recession, we used to think it was an inevitable part of aging no different to how grey hairs grow. However, nowadays we know that gum recession is an entirely preventable and treatable condition, and more importantly we understand the huge benefits to having receding gums treated
But why do gums recede in the first place? Many people don’t realise their gums are receding and that’s because gum recession is a chronic condition that progresses gradually over time. The most common initial cause is either physical trauma from over-brushing (brushing too often and with too much force), or ironically the opposite – poor oral hygiene causing gum inflammation (gingivitis) and leading to inflammatory gum recession. Some other common contributing factors to gum recession include teeth grinding, misaligned bite, genetics, and hormonal changes such as pregnancy.
If you think your gums may be receding, it’s important that you make the time to book an appointment and get them checked out. This is the best way you can avoid any further health problems down the track. Book your appointment today, and smile with confidence.
The results of a gum graft may last for several years, although the transplanted tissue may eventually be reabsorbed by the body. In some cases, multiple gum grafts may be required to achieve desired results. Gum grafts are considered safe and effective, and complications are rare. With proper care, gum grafts can provide long-lasting improvements to the appearance and health of your smile.
There are different types of gum (gingival) grafting treatments. The one best suited to you will be determined at your appointment and will depend on the overall condition of your gums and the size of the graft needed.
Connective Tissue Graft
The most common type of gum graft is a connective tissue graft. During this treatment, connective tissue is taken from the roof of your mouth and attached to the exposed root. The donor site then heals naturally after 1-2 weeks. Healing after connective tissue grafts is generally uneventful, with only some mild discomfort similar to having a ‘hot pizza burn’.
Free Gingival Graft
For people with thinner gums, a free gingival graft may be necessary. This is very similar to the above connective tissue graft, with the main difference being the type of donor tissue. Instead of a thin connective tissue layer, a full thickness of donor gum tissue is used to protect the receded gum. The donor site (generally the palate or roof of the mouth) heals similarly in 1-2 weeks.
Pedicle Graft
This is where we borrow an area of gum tissue right next to the affected site and stretch this tissue to cover the area of gum recession. Generally, a pedicle graft is only indicated where there is plenty of gum tissue in the adjacent area. However, the benefit of a pedicle graft is quicker healing as there is no donor site and hence only one area to heal instead of two. As to which graft is best, your dentist will be able to determine the optimum solution for your individual situation.
Here at Studio Smiles, we take pride in our emphasis on pain-free dentistry. We understand that going to the dentist can be daunting and that there are certain procedures you may find uncomfortable, so we use the latest techniques and technology to make you feel as comfortable as we possibly can. We also offer oral and IV sedation to take the edge off where needed, which means you can wake up to the smile of your dreams without remembering a thing! Book an appointment today.
Costs will vary depending on the individual and the treatment necessary. We believe in a transparent approach, so we make it a rule to provide all relevant treatment options and costs, including the advantages and disadvantages where relevant. This is an important part of our informed consent process. Patients may choose to opt for one of our interest-free payment plans to have their smile transformed now, while having the flexibility to pay later on their own terms. Payment plans can help alleviate the financial barriers to a healthy mouth. We want to make sure you feel completely comfortable with the next steps throughout your entire journey. Book an appointment today. Book an appointment today.
Gum grafting is a surgical procedure used to improve the appearance of the gums. It can also be used to protect the roots of the teeth from exposure. The procedure is typically performed by a periodontist, a dentist who specialises in the treatment of gum disease. First, a small piece of donor tissue is taken from another area of the mouth. This tissue is then grafted onto the affected area. The graft helps to cover exposed roots and provides support for the surrounding gum tissue. Gum grafting is usually done on an outpatient basis and takes about an hour to complete. Recovery from the procedure is typically quick, and most patients experience little discomfort.
One of the main advantages of gum grafting is that it can help to reduce sensitivity. By covering exposed roots, gum grafting can help to protect nerve endings and reduce the likelihood of discomfort when eating or drinking hot or cold beverages. In addition, gum grafting can also help to improve the overall appearance of your smile by creating a more even gum line.
Gum grafts are typically painless, as the area is numbed with an anesthetic before the graft is performed. However, some patients may experience some discomfort during the procedure or afterwards as the anesthesia wears off. In most cases, this discomfort can be managed with over-the-counter pain medication. If you experience any severe pain or prolonged discomfort after your gum graft, you should contact your dentist for further instructions.

Our custom-built facility allows us to provide a high level of care to our patients under the one roof.
Book an appointmentWe strive to establish rapport and trust to help you feel completely confident on your smile transformation journey.



Visiting the dentist can be costly. That’s why we’ve come up with our ‘Smile Now, Pay Later’ solution. With interest-free payment plans for Highett patients, you’ll be able to pay on your own terms.
Learn More
With over 40 years of combined dental experience serving Highett, we know what it takes to achieve the smile of your dreams. We’ve thought about every detail so you can feel completely confident.
Learn More
We’re on a mission to show you that visiting the dentist doesn’t have to be unpleasant. Our professional dentist team focuses solely on you and any concerns you have for an enjoyable experience.
Learn More