General Dentistry
Cosmetic Dentistry
Dental Implants
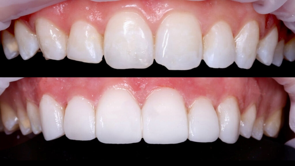
3D printed veneers are a modern way to improve your smile using advanced technology. Instead of the traditional method where veneers are handmade, these veneers are designed on a computer using a digital scan of your teeth. Then, they’re created with a 3D printer using strong, dental-grade materials.
Because they’re digitally designed, 3D printed veneers fit very precisely and look natural. The process is usually faster than traditional veneers since the printing can happen right after the design is finalised. They can help fix common issues like chipped, stained, or uneven teeth, often with less removal of your natural tooth structure.
Overall, 3D printed veneers offer a quick, accurate, and minimally invasive way to give you a fresh, confident smile using the latest dental technology.
Your dentist can guide you to find the best option to meet your cosmetic dental needs.
At Studio Smiles we’ve transformed over one thousand smiles. Our dentists are highly trained in cosmetic and aesthetic dentistry and committed to finding the best treatment to suit your own personal needs, wants lifestyle, and budget.
Transform your smile. Book an appointment today.


At Studio Smiles our 3D printed veneers are made from advanced hybrid ceramic material (composite with ceramic filler particles) that are specially designed for strength and aesthetics. These materials are durable enough to handle daily biting and chewing while still being thin and lightweight, making them comfortable to wear.
Compared to traditional composite, 3D printed veneers offer a superior finish closer to porcelain, without the extra cost.
The 3D printed veneers are highly polished after printing to give them a smooth, glossy finish that mimics the natural shine of tooth enamel and can offer extra strength and a very natural, translucent look—similar to traditional porcelain veneers.
Because the material is printed layer by layer with extreme precision, the final veneers can be customized to match the color and shape of your teeth perfectly.
If your teeth are stained or discoloured, chipped, or misshapen, veneers may be the perfect solution. Our veneers dentist in Melbourne will work with you to create a treatment plan that meets your unique needs and goals. We are available for all families in the Bayside area of Melbourne including Highett, Bentleigh, Bentleigh East, Beaumaris, Hampton, Hampton East, Sandringham, Cheltenham, Moorabbin, Mentone, and Black Rock.
Composite veneers are made by hand, directly on your teeth, using tooth-colored resin. They’re a more affordable option and can be shaped in a single visit, but because they’re sculpted by hand, the finish and fit depend a lot on the dentist’s artistry. They can also stain over time and may need more frequent touch-ups.
3D printed veneers are digitally designed and printed from a scan of your teeth, giving them a highly precise fit and a smooth, natural-looking finish. They’re made from advanced ceramic resin, which is stronger and more stain-resistant than traditional composite veneers. Like composite veneers though, they can often be completed in one appointment, but with a more polished and durable result.
3D printed veneers are perfect for people who want to enhance their smile quickly and with minimal tooth preparation. They’re ideal for covering chips, stains, slight misalignment, or uneven teeth, and are a great choice if you want a more natural and durable result than regular composite bonding. This makes them an excellent option for patients who want superior aesthetics and strength without the higher cost or longer process of porcelain veneers.
Porcelain veneers are the traditional gold standard – they’re handcrafted in a lab, very strong, and have a natural shine that can last 10–20 years. However, they usually require some enamel to be shaved down and take multiple visits.
3D printed veneers are made from a high-tech ceramic resin that’s printed directly from a digital scan of your teeth. They’re ultra-thin, often require little to no tooth preparation, and can sometimes be done in just one visit. While they’re newer than porcelain, they look very natural and are a great option if you want a faster and more conservative treatment.
If you are considering porcelain veneers, be sure to consult with our qualified dentists to ensure that they are right for you.
At Studio Smiles, we understand that the cost of veneers in Melbourne can be a major barrier to getting the smile you deserve. That’s why we offer high-quality 3D Printed veneers at an affordable price.
Getting 3D printed veneers is a quick and comfortable process. First, we take a digital scan of your teeth – no messy impressions – and design your new smile on a computer. You’ll even have the option to preview a “trial smile”, which is a temporary mock-up you can try on to see how your new teeth will look and feel before committing to the final veneers.
Once you’re happy with the design, the veneers are 3D printed using strong, tooth-colored ceramic resin. In some cases, they can be printed and fitted on the same day, giving you an instant smile makeover. If we’re doing a trial smile first, we’ll schedule a second visit to bond your final veneers once you’ve approved the look.
The veneers are then carefully bonded to your teeth, polished, and adjusted for comfort, leaving you with a natural, beautiful smile.

At Studio Smiles we offer dental veneer treatment plans tailored to best suit each patient’s individual smile goals and budget. With payment plans from as little as $50 / week, our patients are often surprised by how affordable dental veneers can be. The cost of dental veneers can range between $550 and $3,000 per tooth depending on the process and material chosen.
3D Printed veneers average $600 per tooth.
For a comprehensive treatment plan and detailed quote for veneers, please contact us to arrange a one-on-one cosmetic opinion.
Dental veneers are thin, tooth-coloured shells that are attached to the natural teeth to improve their shape, colour and overall appearance. They’re the perfect treatment option for those wanting to fix chipped, discoloured, small, or crooked teeth. Like starting with a blank canvas, we can dream into reality the smile you’ve always wanted.
There are many benefits when it comes to placing dental veneers against your teeth. Along with improving your smile and increasing your overall confidence, dental veneers can help with the following:
3D Printed Veneers can last for anywhere between 3-5+ years while porcelain veneers can last around 15-20+ years. The longevity of the veneers all depends on how well they are taken care of. For proper care, it’s important to prioritise optimal oral hygiene.
In theory, yes. Veneers can fall off. However, when dental veneers are done to a high standard and under the right conditions, we don’t expect them to fall off if they’re taken care of in the right way. With composite veneers, we generally expect them to last anywhere between 3-5+ years. In saying this, the veneers don’t just fall off after the 5-year mark. The teeth will begin picking up stains and chipping, so the overall appearance of the veneers may degrade at this point. The same goes for porcelain veneers. We expect them to last anywhere between 15-20+ years, but this doesn’t necessarily mean that the veneers will just fall off after that point – they may just need rejuvenation.
Making any changes to the natural teeth is solely dependent on where the current teeth are sitting and how we want the final alignment to look. This itself will influence whether or not any teeth need to be shaved. Let’s say someone with buck teeth comes in and their teeth are sticking out. For us to create that beautiful smile, we need those teeth to be sitting further back in order to change the shape, colour and texture. This means we’re going to have to move the teeth further back, or we’re going to have to file them down to create that space.
Here at Studio Smiles, we aim to minimise any filing of the teeth needed. In most situations, we’re able to apply dental veneers without the need to shave any teeth (minimal prep veneers), but when we do, we try to limit it to a maximum of 0.3mm to keep the teeth as healthy as possible. Often patients may have crowded teeth, so we might look at completing a 3–4-month period of Invisalign to get the teeth into a better position to begin with before proceeding with veneers. By doing a few short months of orthodontics before veneers we can get the teeth into a better position, meaning they won’t need any filing down at all.
There are two types of treatments we offer here at Studio Smiles – composite veneers and porcelain veneers. Composite veneers are made from a tooth-coloured resin filling material, whereas porcelain veneers are made from a highly specialised ceramic.
The main difference between the two is cost, longevity, and the level of enhancement. Composite veneers are completed in a single visit directly in the chair, they are generally more affordable, not as long lasting (3-5 years), and not as natural-looking. However, for those patients wanting a budget option that is still able to vastly improve their smile, composite veneers are an excellent option.
Porcelain veneers are the gold standard for dental veneer treatment. This is because they are made outside the mouth by a master ceramist, allowing for the highest level of strength, quality, and natural aesthetics. Compared to composite resin, porcelain has superior optical qualities and being a glass material has the most life-like shine. Porcelain veneers generally last 15-20+ years when carefully taken care of.
Composite Veneers
A great, budget-friendly option, composite veneers can be applied to the teeth in just one visit, leaving you with a natural looking smile.
Porcelain (Ceramic) Veneers
Porcelain veneers are thin, tooth-coloured ceramic shells that are placed on the outside of your natural teeth. A mold of your teeth will be made and sent off to a dental lab where the veneers will be custom-made for you. This process generally takes between 1-2 weeks. Once they’re ready, the veneers will be attached to your teeth, leaving you with a beautiful smile.
At Studio Smiles, we take pride in our transparent approach. We endeavour to make the entire process clear for you so that you understand exactly what is happening, what can be done and the likely outcomes. We find that taking this extra time for a thorough approach means our patients stress less and feel better quicker.
Here at Studio Smiles, we take pride in our emphasis on pain-free dentistry. We understand that going to the dentist can be daunting and that there are certain procedures you may find uncomfortable, so we use the latest techniques and technology to make you feel as comfortable as we possibly can. We also offer oral and IV sedation to take the edge off where needed, which means you can wake up to the smile of your dreams without remembering a thing! Book an appointment today.
Costs will vary depending on the individual and the treatment necessary. We believe in a transparent approach, so we make it a rule to provide all relevant treatment options and costs, including the advantages and disadvantages where relevant. This is an important part of our informed consent process. Patients may choose to opt for one of our interest-free payment plans to have their smile transformed now, while having the flexibility to pay later on their own terms. Payment plans can help alleviate the financial barriers to a healthy mouth. We want to make sure you feel completely comfortable with the next steps throughout your entire journey. Book an appointment today.
There are many different types of veneers available in Melbourne, so it is important to choose the right one for your needs.
Porcelain veneers are one popular option, as they are stain-resistant and durable. Composite veneers are another popular choice, as they are less expensive than porcelain and can be easily repaired if they chips or cracks. If you are looking for a natural look, then you may want to consider getting your veneers made from composite resin. This material can be matched to the colour of your teeth, making it difficult for others to tell that you have veneers. No matter what type of veneer you choose, you can be sure that you will be able to achieve the beautiful, healthy smile that you have always wanted.
To help keep your veneers looking their best, it is important to practice good oral hygiene habits and avoid foods and beverages that can cause staining. Additionally, be sure to visit your dentist regularly for professional cleanings and checkups. By following these simple tips, you can help ensure that your veneers remain in top condition for many years to come.
Veneers are a popular cosmetic dentistry procedure that can give you a Hollywood-worthy smile. However, like any other dental procedure, veneers come with a few risks and side effects. The most common side effect is tooth sensitivity. This is because the veneers cover the natural tooth enamel, which can make the teeth more sensitive to hot and cold temperatures. In rare cases, the teeth may also become discoloured from the veneers. Additionally, there is a small risk of the veneers chipping or cracking, and they
may need to be replaced after a few years. Overall, veneers are a safe and effective way to improve your smile. However, it is important to talk to your dentist about the risks and side effects before getting the procedure done.
Veneers are made from thin porcelain sheets that are applied to the front surface of your teeth. They can be used to correct a wide variety of cosmetic dental issues, including chips, cracks, gaps, and stains. Veneers are typically less expensive than crowns and can be completed in just a few office visits. However, they are not as durable as crowns and may require replacement every five to ten years. Crowns, on the other hand, are made from thicker porcelain or ceramic materials. They are placed over the entire tooth, covering both the front and back surfaces. Crowns can be used to correct more serious dental issues, such as large cracks or breaks.
They are also more durable than veneers and can last up to fifteen years with proper care. However, crowns are more expensive than veneers and require multiple office visits for placement. If you are considering veneers, it is important to consult with an experienced dentist to determine if they are the right option for you. In general, veneers are best suited for people who have healthy teeth and gums and who do not grind or clench their teeth. Veneers can last for many years with proper care, but they are not as durable as natural teeth and may require replacement over time.
If you are considering veneers, it is important to consult with an experienced dentist to determine if they are the right option for you. In general, veneers are best suited for people who have healthy teeth and gums and who do not grind or clench their teeth. Veneers can last for many years with proper care, but they are not as durable as natural teeth and may require replacement over time.
Veneers are often considered a more permanent solution than other cosmetic dentistry options, such as teeth whitening. This is because veneers are made of thin, custom-fit porcelain shells that are bonded to the front surface of your teeth. Once in place, veneers can last for many years with proper care. In fact, many people report that their veneers last for 10 to 15 years or more before needing to be replaced.

With your own personal ceramist, experience the highest level of perfection with your porcelain veneers at Studio Smiles.
Book an appointmentWe strive to establish rapport and trust to help you feel completely confident on your smile transformation journey.



Visiting the dentist can be costly. That’s why we’ve come up with our ‘Smile Now, Pay Later’ solution. With interest-free payment plans for Highett patients, you’ll be able to pay on your own terms.
Learn More
With over 40 years of combined dental experience serving Highett, we know what it takes to achieve the smile of your dreams. We’ve thought about every detail so you can feel completely confident.
Learn More
We’re on a mission to show you that visiting the dentist doesn’t have to be unpleasant. Our professional dentist team focuses solely on you and any concerns you have for an enjoyable experience.
Learn More